Что такое ортодонтические накладки?
Что такое ортодонтические накладки?
Для чего нужны накладки?
Для чего нужны накладки?
Показаний для использования накладок несколько:
- Защита замков брекетов на нижних зубах.
В некоторых патологиях прикуса при правильном позиционировании брекета на нижнем зубе создается контакт с верхним зубом. Это может привести к скалыванию нижнего брекета.
- Для более свободного перемещения нижней челюсти.
При наличии дистального (заднего) или мезиального (переднего) прикуса может возникнуть необходимость перемещения нижней челюсти в сагиттальной плоскости. Плотные контакты жевательных зубов могут ограничивать скольжение нижней челюсти, так как мышцы будут сопротивляться ёё смещению. Благодаря накладкам скольжение челюсти улучшается, что позволяет быстро достигнуть поставленной задачи.
- При выраженных симптомах ВНЧС.
В некоторых случаях накладки используются для уменьшения болевых симптомов височно-нижнечелюстного сустава в виде дистракции суставной головки путем увеличения высоты прикуса.
Также полученная высота позволяет перемещать зубы для создания правильной лечебной позиции зубо-челюстного аппарата.
Как изготавливаются накладки?
Как изготавливаются накладки?
Накладки создаются также, как и реставрация (пломба). После обработки зубов ортофосфорной кислотой и покрытия поверхности эмали бондом врач-стоматолог наносит несколько слоёв фотокомпозитного материала. Каждый слой засвечивается фотополимерной лампой, тем самым врач может добиться необходимой высоты для каждого пациента индивидуально.
Также существуют специальные формы для передних накладок – форма заполняется фотокомпозитом, прикладывается к поверхности зуба и засвечивается лампой. Это позволяет создать нужный градус угла накладок для правильного упора зубов.
Важно!
1. Накладки должны быть симметричные с двух сторон и одной высоты. Всегда проверяйте, контактируют ли обе накладки после изготовления.
2. Фотокомпозитный материал имеет свойство стираться под действием жевательной нагрузки, что увеличивает риск скола брекета. Во избежание этого рекомендуется прийти на внеплановый прием для коррекции высоты накладок.
3. Накладки – это такой же хрупкий элемент ортодонтического лечения, как брекеты. Поэтому есть риск отклеивание накладки, в связи с чем вам необходимо посетить ортодонта для возвращения накладки на место.
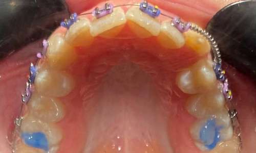
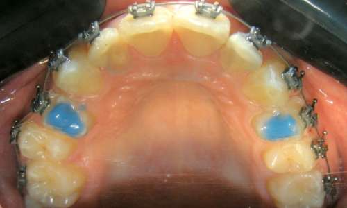
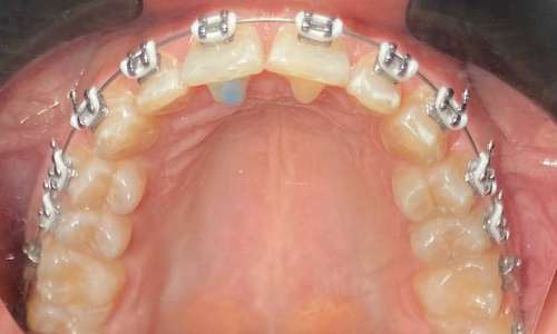
Где находятся накладки?
Где находятся накладки?
Есть несколько возможных локализаций:
Передние накладки (bite turbos) – используются при низкой высоте прикуса, глубоком резцовом перекрытии, заднем положении нижней челюсти.
Боковые накладки (bite blocks) – для разобщения прикуса и комфортного скольжения нижней челюсти
В течении всего ортодонтического лечения врач-ортодонт может корректировать положение накладок, их высоту, а также переносить накладки на другие группы зубов для соответствия этапу лечения.
Со временем врач уменьшая высоту накладок, чтобы зубы начинали смыкаться в новом положении, постепенно входя в контакты. После лечения врач убирает накладки.
Как есть с накладками?
Как есть с накладками?
В первые дни пациент может ощущать дискомфорт, особенно в момент принятия пищи. Так как контактируют только накладки, а остальные зубы имеют разобщение, понадобится адаптация к приему пищи.
Рекомендуется употребление мягкой пищи в первые несколько дней, чтобы было легче понять процесс измельчения пищи с накладками.
Процесс адаптации к накладкам обычно составляет 1-2 недели, после чего пациент может возвращаться к своему обычному питанию во время ортодонтического лечения.
Если у вас остались вопросы – оставьте заявку и я расскажу вам подробную информацию на консультации.

